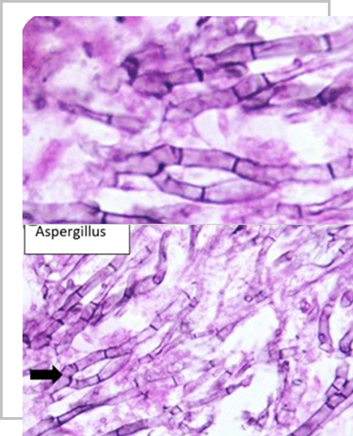
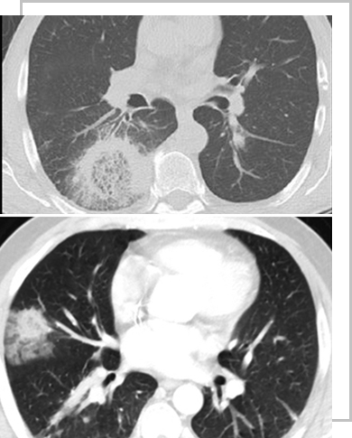
Aspergillus

Mucor

Rare Fungus

Key Points of Fung-I-Reg

  • Pan India Web Based Registry of Fungal infections (Aspergillus,Mucor, Rare Fungi)
  • Advancing knowledge on Epidemiology,clinical manifestations, laboratory parameters ,treatment and outcome of Fungal infections
  • India Specific data
  • Validating selected culture results at Reference Laboratory ( PGIMER, Chandigarh)
  • Advanced molecular analysis of selected fungal cultures
  • Registry based data analysis
  • Comparison with western data
  • Publication in peer reviewd journals
  • Inclusion of both Private and Public health care sectors
  • Coordinated by Fungal Infection Study Forum (FISF) a not for profit educational trust based at PGI Chandigarh. (Chairperson : Prof Arunaloke Chakrabarti ) www.fisftrust.org

Method

  • One time Registration ( No charges)
  • Generate your own password
  • Accept a confirmation e mail
  • Log in with your password
  • Select Case Record Form (CRF) of any of the Gateways : CRF Aspergillus CRF Mucor CRF Rare and Endemic Fungi
  • Fill up the details
  • Submit the form
  • Save a self generated PDF of your form
  • For any query contact Registry Coordinator :
    Suraj Singh +917003997214 suraj@indorivclinical.com
  • The filled up form will be ratified by the Fung-I-Reg Scientific Board
  • E mail for acceptance of your submission will be sent
  • Send your account details for Rs 2000/- per accepted CRF

The registry is supported by an educational grant from Pfizer for two years.